We now offer our Classic Care Plan
No dental insurance? No problem!
Our Dental Savings Plan is designed to provide greater access to quality dental care at an affordable price.
A dazzling smile is a necessary asset in today’s society. A nice smile gives you the ability to make lasting first impressions, which comes with many benefits.
Integrity. Compassion. Excellence.
Coming from a family of dentists, Dr. Chan believes that he was born to practice dentistry and absolutely loves the profession. He has spent significant time at the Scottsdale Center for Dentistry learning from some of the top clinicians in the country and is an avid reader of dental journals and periodicals.
For example, a nice smile can help give you the confidence you need to succeed. Cosmetic dentistry can give you a smile to smile about. When you look in the mirror, you will be completely happy with what you see. That's what cosmetic dentistry is all about.
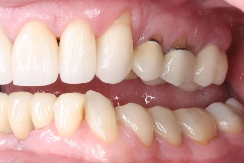
Here we have a series of teeth with old silver fillings that are need of replacement. Decay and fractures made these teeth weak and prone to breaking. The decay and amalgam fillings were removed and the teeth restored with all porcelain crowns to greatly improve the health and strength of the area. The use of our CEREC technology allowed these crowns to be completed by our expert dentist, Dr. Brian Chan.
Our dentist, Dr. Brian Chan, and our team, are experts in reconstructing full mouth smiles when they have been worn down with time. This is an example of a full mouth restoration case that we completed with all porcelain crowns in a lighter shade. Some of the objectives were to replace missing teeth, remove decay, and replace old restorations. You can see the dramatic result and the stunning change in our patient’s smile. Needless to say, her satisfaction has led her to be one of our patients for life!
This Rancho Bernardo patient was another case of old, weathered veneers that needed replacement. The difference in old versus new materials is quite evident. Our goal was to create two veneers that blended in seamlessly with the other teeth, so that they would go unnoticed in everyday life. We want beautiful, natural smiles, not just two gleaming white front teeth.
Classic Dental Smiles offers cosmetic dentistry services in San Diego that are designed to improve the appearance of your smile through the use of advanced dental procedures.
Contact our office today at 858-485-6781 or schedule your appointment. We're happy to answer any questions, inquiries, or concerns you may have about Cosmetic Dentistry.
No dental insurance? No problem!
Our Dental Savings Plan is designed to provide greater access to quality dental care at an affordable price.