Porcelain Veneers in San Diego
-
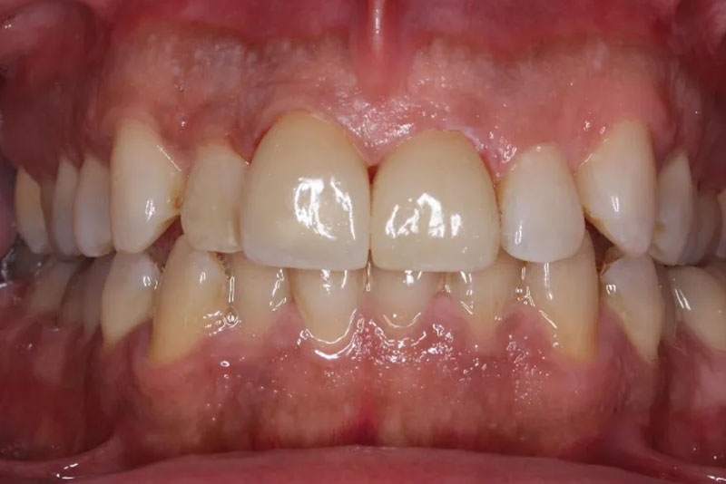
Before
After
Veneers
-
Before
After
Veneers
-
Before
After
Veneers
Classic Dental Smiles offers Porcelain Veneers - Veneers refer to thin shells of tooth-colored material that are permanently bonded to the front surface of damaged teeth to enhance their appearance. They’re typically made from resin-composite or porcelain materials, and can be recommended to treat a range of cosmetic dental concerns including:
- Chipped or broken teeth
- Discoloration or staining that can’t be fixed with whitening
- Smaller-than-average teeth
- Gaps in the teeth
- Crooked teeth
- Unusually shaped or pointed teeth
- And more
Porcelain Veneers Can Change Your Life
Depending on your case, may recommend just one veneer to fix the damage, or multiple veneers to create a symmetrical smile. Veneers are usually applied to the top front six to eight teeth for aesthetics purposes.
We will examine your teeth and thickness of tooth enamel in order to decide if you are a candidate for Porcelain Veneers. We will consult with you by using diagnostic tools and help create the smile of your dreams

Why Choose Brian Chan, DDS
- Focused on Patient Satisfaction
- We Use The Highest Quality Materials
- Latest Digital Technology
- Advanced Training in Cosmetic Dentistry
- And more
Call Us Today
If you want to improve your smile or if you have any questions regarding our cosmetic dentistry services, then please call our office at 858-485-6781. We’re happy to answer any questions, inquiries, or concerns you may have.
